治療の症例|渋谷F&B矯正歯科・東京
過蓋咬合
嚙み合わせが深すぎる
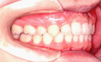
過蓋咬合(24歳女性)
治療前
治療後
| 主訴 | 噛んだ時に上の前歯で下の前歯が見えなくなる |
|---|---|
| 診断名 | 過蓋咬合 |
| 年齢 | 24歳 |
| 性別 | 女性 |
| 治療内容 | ラビアルブラケット 上顎両側第一小臼歯抜歯 |
| 治療期間 | 2年11ヶ月 |
| 費用 | 902,000円(別途、抜歯費用@5,500円×2本) |
| リスクと副作用 | □歯肉炎、う蝕 □開口障害、顎関節の不調 □歯根吸収 □歯髄死 |
治療前



治療後



| 主訴 | 噛んだ時に上の前歯で下の前歯が見えなくなる |
|---|---|
| 診断名 | 過蓋咬合 |
| 年齢 | 24歳 |
| 性別 | 女性 |
| 治療内容 | ラビアルブラケット 上顎両側第一小臼歯抜歯 |
| 治療期間 | 2年11ヶ月 |
| 費用 | 902,000円(別途、抜歯費用@5,500円×2本) |
| リスクと副作用 | □歯肉炎、う蝕 □開口障害、顎関節の不調 □歯根吸収 □歯髄死 |