矯正治療
渋谷F&B矯正歯科・東京
よりきれいな歯並びが実現できるよう、精密な検査とカウンセリングの上で治療計画を作成しています。
当院のコンセプトや治療の流れをご紹介しましょう。
無料初診
カウンセリング
渋谷F&B矯正歯科・東京での初診カウンセリングは無料です。口腔内を診査した上で、歯並びについてどのような悩みをお持ちかお聞きします。治療方法をいくつか提示し、かかる費用や期間についても丁寧に説明いたします。気になることは遠慮せず質問してください。
03-6416-9027
03-6416-9027
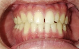
治療の症例
これまでの治療の症例をご紹介します。
患者様に合った症例を診察時にお見せすることも可能です。
さまざまな症状における治療実績がございますので、「私の場合は難しいのではないか」と
お悩みの方も、まずはご相談ください。
渋谷F&B矯正歯科・
東京について
お知らせ
-
年末年始休診のお知らせ
12月30日(火)~1月4日(日)は休診とさせていただきます。
何卒、ご了承いただきますようお願いいたします。 -
GW休診のお知らせ
5月1日(木)、2日(金)、5日(月)、6日(火)は休診とさせていただきます。
何卒、ご了承いただきますようお願いいたします。 -
「東京ドクターズ」に掲載されました
インタビュー記事はこちらから⇒ -
「情熱ドクター」に掲載されました
インタビュー記事はこちらから⇒



