治療の症例|渋谷F&B矯正歯科・東京
前歯部叢生を伴う開咬
前歯で噛めない
前歯部叢生を伴う開咬(22歳女性)
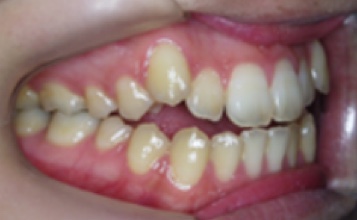
治療前
治療後
| 主訴 | 前歯で噛みにくい、八重歯 |
|---|---|
| 診断名 | 前歯部叢生を伴う開咬 |
| 年齢 | 22歳 |
| 性別 | 女性 |
| 治療内容 | ラビアルブラケット |
| 治療期間 | 2年4ヶ月 |
| 費用 | 902,000円 |
| リスクと副作用 | □歯肉炎、う蝕 □開口障害、顎関節の不調 □歯根吸収 □歯髄死 |
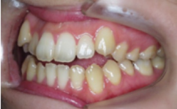
治療前



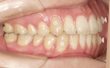
治療後



| 主訴 | 前歯で噛みにくい、八重歯 |
|---|---|
| 診断名 | 前歯部叢生を伴う開咬 |
| 年齢 | 22歳 |
| 性別 | 女性 |
| 治療内容 | ラビアルブラケット |
| 治療期間 | 2年4ヶ月 |
| 費用 | 902,000円 |
| リスクと副作用 | □歯肉炎、う蝕 □開口障害、顎関節の不調 □歯根吸収 □歯髄死 |