治療の症例|渋谷F&B矯正歯科・東京
空隙歯列を伴う叢生
すきっ歯とガタガタの歯並び
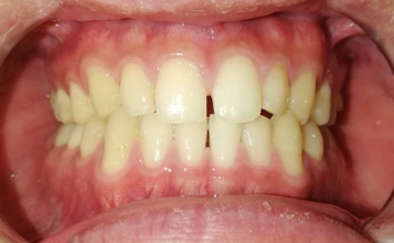
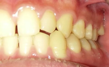
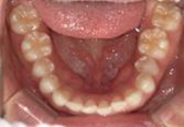
空隙歯列を伴う叢生(24歳男性)
治療前
治療後
| 主訴 | 上下の前歯の隙間が気になる |
|---|---|
| 診断名 | 空隙歯列を伴う叢生 |
| 年齢 | 24歳 |
| 性別 | 男性 |
| 治療内容 | ハナラビのマウスピース(上下顎歯列のアーチを整え、空隙閉鎖) |
| 治療期間 | 6ヶ月 |
| 費用 | 330,000円 |
| リスクと副作用 | □歯肉炎、う蝕 □開口障害、顎関節の不調 □歯根吸収 □歯髄死 |
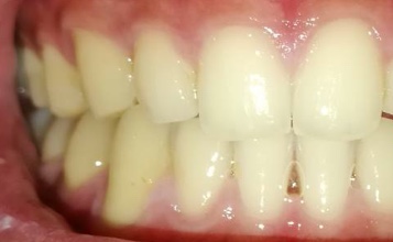
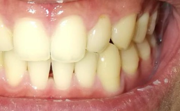
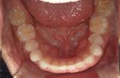
空隙歯列(27歳男性)
治療前
治療後
| 主訴 | 前歯のスキッ歯を治したい |
|---|---|
| 診断名 | 空隙歯列 |
| 年齢 | 27歳 |
| 性別 | 男性 |
| 治療内容 | ハナラビのマウスピース 下顎 歯のストリッピング(IPR) |
| 治療期間 | 6ヶ月 |
| 費用 | 330,000円 |
| リスクと副作用 | □歯肉炎、う蝕 □開口障害、顎関節の不調 □歯根吸収 □歯髄死 |











