治療の症例|渋谷F&B矯正歯科・東京
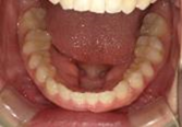
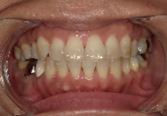
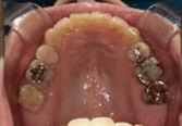
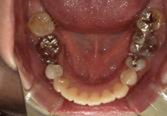
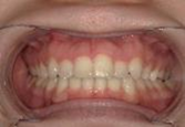
前歯部叢生
ガタガタした前歯
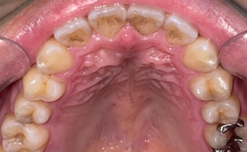
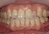
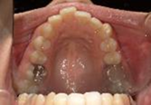
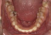
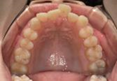
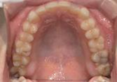
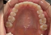
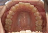
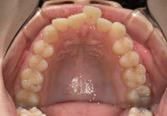
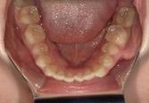
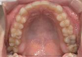
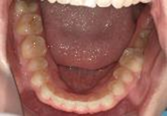
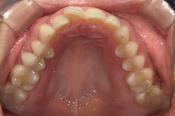
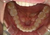
前歯部叢生(25歳男性)
治療前
治療後
| 主訴 | 上の前歯が一本出てるのが気になる |
|---|---|
| 診断名 | 前歯部叢生 |
| 年齢 | 25歳 |
| 性別 | 男性 |
| 治療内容 | ハナラビのマウスピース(側方拡大によりスペースを確保し、前歯部を舌側傾斜させた) |
| 治療期間 | 6.5ヶ月 |
| 費用 | 330,000円 |
| リスクと副作用 | □歯肉炎、う蝕 □開口障害、顎関節の不調 □歯根吸収 □歯髄死 |
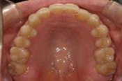
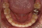
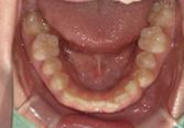
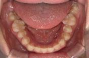
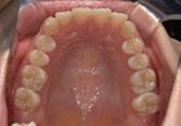
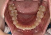
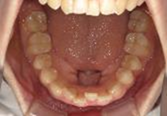
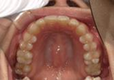
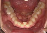
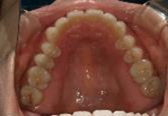
叢生(41歳女性)
治療前
治療後
| 主訴 | 上下のガタつきが気になる |
|---|---|
| 診断名 | 叢生 |
| 年齢 | 41歳 |
| 性別 | 女性 |
| 治療内容 | ハナラビのマウスピース 歯のストリッピング(IPR) |
| 治療期間 | 1年 |
| 費用 | 660,000円 |
| リスクと副作用 | □歯肉炎、う蝕 □開口障害、顎関節の不調 □歯根吸収 □歯髄死 |
叢生(32歳女性)
治療前
治療後
| 主訴 | 前歯のガタつきが気になる |
|---|---|
| 診断名 | 叢生 |
| 年齢 | 32歳 |
| 性別 | 女性 |
| 治療内容 | ハナラビのマウスピース 歯のストリッピング(IPR) |
| 治療期間 | 6ヶ月 |
| 費用 | 330,000円 |
| リスクと副作用 | □歯肉炎、う蝕 □開口障害、顎関節の不調 □歯根吸収 □歯髄死 |
叢生(22歳女性)
治療前
治療後
| 主訴 | 正中のズレと下の歯のガタつきが気になる |
|---|---|
| 診断名 | 叢生 |
| 年齢 | 22歳 |
| 性別 | 女性 |
| 治療内容 | ハナラビのマウスピース 歯のストリッピング(IPR) |
| 治療期間 | 9ヶ月 |
| 費用 | 495,000円 |
| リスクと副作用 | □歯肉炎、う蝕 □開口障害、顎関節の不調 □歯根吸収 □歯髄死 |
叢生(26歳女性)
治療前
治療後
| 主訴 | 上の前歯を下げたい |
|---|---|
| 診断名 | 叢生 |
| 年齢 | 26歳 |
| 性別 | 女性 |
| 治療内容 | ハナラビのマウスピース 歯のストリッピング(IPR) |
| 治療期間 | 6ヶ月 |
| 費用 | 330,000円 |
| リスクと副作用 | □歯肉炎、う蝕 □開口障害、顎関節の不調 □歯根吸収 □歯髄死 |
前歯部叢生(26歳女性)
治療前
治療後
| 主訴 | 歯の3-4を変えたい |
|---|---|
| 診断名 | 前歯部叢生 |
| 年齢 | 26歳 |
| 性別 | 女性 |
| 治療内容 | ハナラビのマウスピース 歯のストリッピング(IPR) |
| 治療期間 | 6ヶ月 |
| 費用 | 330,000円 |
| リスクと副作用 | □歯肉炎、う蝕 □開口障害、顎関節の不調 □歯根吸収 □歯髄死 |
前歯部叢生(33歳女性)
治療前
治療後
| 主訴 | ガタつきが気になる |
|---|---|
| 診断名 | 前歯部叢生 |
| 年齢 | 33歳 |
| 性別 | 女性 |
| 治療内容 | ハナラビのマウスピース 歯のストリッピング(IPR) |
| 治療期間 | 9ヶ月 |
| 費用 | 495,000円 |
| リスクと副作用 | □歯肉炎、う蝕 □開口障害、顎関節の不調 □歯根吸収 □歯髄死 |
前歯部叢生(56歳女性)
治療前
治療後
| 主訴 | 前歯が出ているのが気になる |
|---|---|
| 診断名 | 前歯部叢生 |
| 年齢 | 56歳 |
| 性別 | 女性 |
| 治療内容 | ハナラビのマウスピース 歯のストリッピング(IPR) |
| 治療期間 | 6ヶ月 |
| 費用 | 330,000円 |
| リスクと副作用 | □歯肉炎、う蝕 □開口障害、顎関節の不調 □歯根吸収 □歯髄死 |
前歯部叢生(34歳女性)
治療前
治療後
| 主訴 | 前歯のガタつきが気になる |
|---|---|
| 診断名 | 前歯部叢生 |
| 年齢 | 34歳 |
| 性別 | 女性 |
| 治療内容 | ハナラビのマウスピース 歯のストリッピング(IPR) |
| 治療期間 | 6ヶ月 |
| 費用 | 330,000円 |
| リスクと副作用 | □歯肉炎、う蝕 □開口障害、顎関節の不調 □歯根吸収 □歯髄死 |
前歯部叢生(33歳男性)
治療前
治療後
| 主訴 | 下の歯のガタつきが気になる |
|---|---|
| 診断名 | 前歯部叢生 |
| 年齢 | 33歳 |
| 性別 | 男性 |
| 治療内容 | ハナラビのマウスピース 歯のストリッピング(IPR) |
| 治療期間 | 6ヶ月 |
| 費用 | 330,000円 |
| リスクと副作用 | □歯肉炎、う蝕 □開口障害、顎関節の不調 □歯根吸収 □歯髄死 |
前歯部叢生(40歳女性)
治療前
治療後
| 主訴 | 上下の歯のガタつきが気になる |
|---|---|
| 診断名 | 前歯部叢生 |
| 年齢 | 40歳 |
| 性別 | 女性 |
| 治療内容 | ハナラビのマウスピース 歯のストリッピング(IPR) |
| 治療期間 | 9ヶ月 |
| 費用 | 495,000円 |
| リスクと副作用 | □歯肉炎、う蝕 □開口障害、顎関節の不調 □歯根吸収 □歯髄死 |































































